ITV MEDIA GROUP | Новини Рівного та області ITV MEDIA GROUP | Новини Рівного та області
Рівне, вул. Миколи Боголюбова, 5
+380964960000 [email protected]

У Рівному лікарі провели операцію з видалення паразитарних кіст печінки

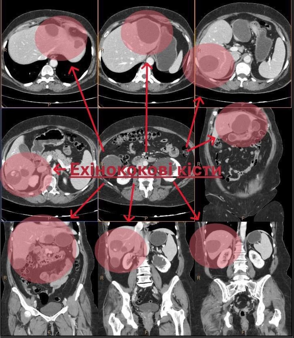
Лікарі Обласного центру планової хірургії та трансплантології РОКЛ імені Юрія Семенюка успішно провели операцію з видалення паразитарних новоутворень (ехінококових кіст) печінки.

Про це повідомили на фейсбук-сторінці медичного закладу.

До медиків звернулася жінка зі скаргами на загальну слабкість, підвищення температури, відчуття важкості та розпирання в правому підребер’ї та епігастрії. Після аналізу на ехінокок та комп’ютерної томографії у пацієнтки було виявлено множинні кісти. Єдиним способом лікування стало оперативне втручання.

Команда лікарів — Назарій Шарафан, Іван Нечипорчук, лікар-інтерн Анастасія Омельянчук та анестезіолог Юрій Коваль — виконала операцію лапароскопічним методом. Під час втручання вдалося повністю видалити патологічні вогнища, зберігши здорову тканину печінки. Пацієнтка почуває себе добре та наразі перебуває на етапі відновлення.

Медики зазначають, що велика кількість кіст у печінці жінки з’явилася через те, що вона не звернулася до лікарів при перших симптомах і вчасно не пройшла обстеження.

Читайте також: