ITV MEDIA GROUP | Новини Рівного та області ITV MEDIA GROUP | Новини Рівного та області
Рівне, вул. Миколи Боголюбова, 5
+380964960000 [email protected]

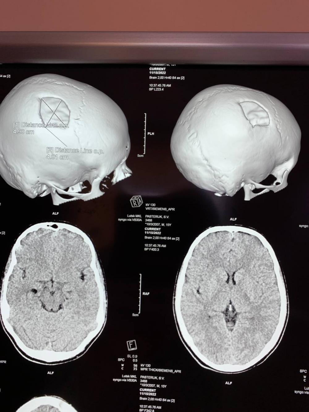
Підлітка з Волинської області прооперували в Рівному

У Рівненській обласній дитячій лікарні прооперували підлітка з Волинської області.

Про це повідомили на фейсбук-сторінці медзакладу.

15-річний хлопець 9 місяців тому отримав складну черепно-мозкову травму. Тому днями йому виконали краніопластику.

"Пошкоджену частину черепної коробки закрили спеціальною титановою пластиною, яка повторює кісткові структури черепа та захищає мозок від ушкоджень", - розповіли лікарі.

На щастя, операція пройшла успішно. Хлопця вже виписали додому.

Читайте також: На Рівненщині дитина випала з третього поверху будівлі

 

Читайте також: